معرفی دستگاه سونوگرافی هندهلد CLP4 | انتخابی ایدهآل برای دانشجویان پزشکی، رزیدنتها و پزشکان تازهکار
یکی از بهترین دستگاه های سونوگرافی برای استفاده پزشکان مدل CLP4 سونواستار میباشد. پروب سونوگرافی CLP4 مانند مدلهای C4PL و C5PL از خانوادهی پروبهای دو سر (Dual-Head) محسوب میشود و دارای سه حالت تصویربرداری اصلی؛ کانوکس و لینیر و مد کاردیاک است. این ساختار دوگانه باعث میشود که دستگاه برای طیف وسیعی از کاربردهای تشخیصی مناسب باشد و بسیاری از نیازهای تصویربرداری روزمره پزشکان را پوشش دهد.
سونوگرافی هندهلد CLP4 یکی از بهترین و کاربردیترین دستگاههای قابل حمل برای استفاده در کلینیکهای انسانی، مطب پزشکان عمومی، اورژانسها و مراکز تشخیص سریع است. این دستگاه با طراحی کوچک، وزن سبک و کیفیت تصویر مناسب، امکان انجام انواع اسکنهای اولیه و تخصصی را در هر محیطی فراهم میکند.
کاربردهای بالینی دستگاه سونوگرافی CLP4
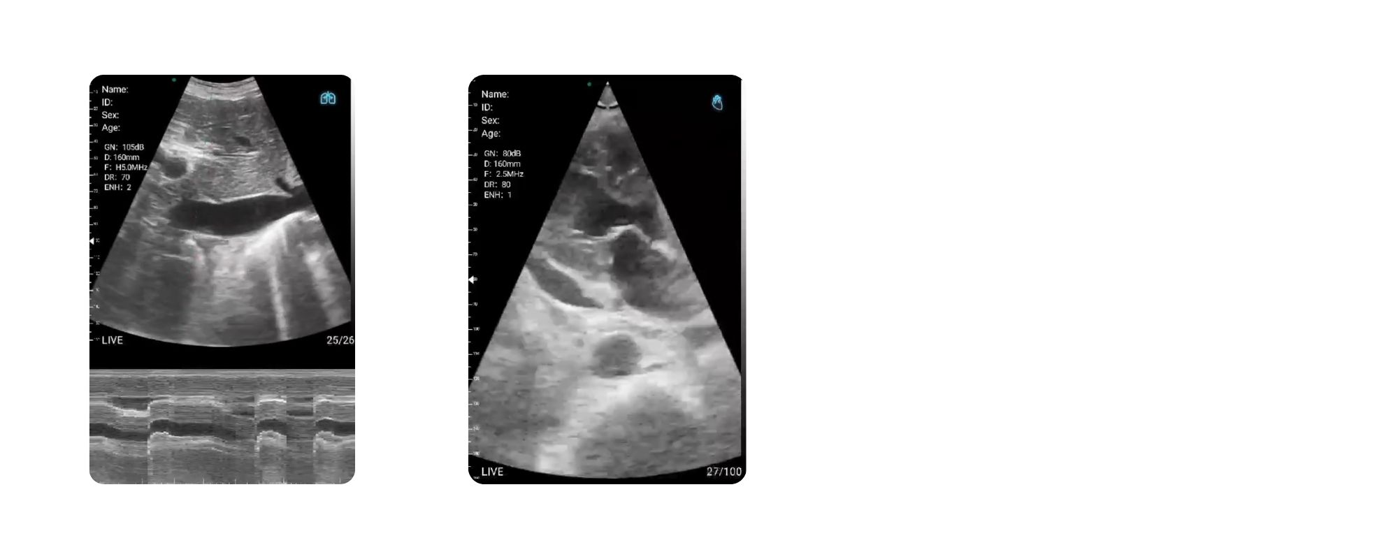
پروب CLP4 با داشتن ۱۲۸ پیزوالکتریک و قابلیت تصویربرداری در مدهای مختلف رنگی و پالس بعلاوه موشن و دیگر مدها از کیفیت تصویر بسیار خوبی برخوردار است و در زمینههای مختلف سونوگرافی قابل استفاده میباشد:
-
سونوگرافی ریه (LUS) برای تشخیص افیوژن، خطوط B، پنوموتوراکس و بررسی وضعیت تنفسی
-
سونوگرافی قلب (Cardiac POCUS) برای ارزیابی سریع عملکرد قلب، بررسی EF تقریبی، پریکاردیال افیوژن و…
-
سونوگرافی شکمی شامل بررسی کبد، کلیهها، طحال، مثانه، صفرا و سایر ارگانهای داخلی
-
تصویربرداری از اندامهای سطحی مانند عروق، تاندونها، عضلات و مفاصل
-
سونوگرافی اطفال به دلیل اندازه کوچک پروب و کنترل آسانتر آن در دستان پزشک
این گستره وسیع از کاربردها، پروب CLP4 را به یک ابزار چندمنظوره و بسیار ارزشمند برای هر کلینیک یا مطب پزشکی تبدیل کرده است.
طراحی کوچکتر و کنترل آسانتر
پروب CLP4 در مقایسه با مدل C4PL دارای سر لینیر کوچکتر و ابعاد جمعوجورتر است که این ویژگیها باعث میشود:
-
کنترل و مانور پروب برای افراد مبتدی سادهتر باشد
-
امکان استفاده در نواحی حساس یا کوچک بدن افزایش یابد
-
تجربه یادگیری سونوگرافی برای کاربران جدید بسیار راحتتر شود
بنابراین، این دستگاه گزینهای عالی برای دانشجویان پزشکی، رزیدنتها و پزشکان تازهکار است که میخواهند مهارت سونوگرافی را بهصورت اصولی شروع کنند.
اتصال مستقیم با سیم؛ عملکرد پایدار در استفاده طولانی
CLP4 از طریق کابل مستقیماً به تلفن همراه متصل میشود؛ این مزیت باعث پایداری بالا، عدم قطع اتصال و مناسب بودن برای اسکنهای طولانیمدت میگردد.
با این حال، در محیطهایی که نیاز به استریل کامل، استفاده در محیطهای مرطوب یا تماس با مایعات وجود دارد، مدلهای C4PL و C5PL به دلیل بیسیم بودن کامل و مقاوت بالا نسبت به نفوذ آب گزینههای مناسبتری هستند.
مناسب برای شروع؛ قابل ارتقا در مراحل حرفهای
اگرچه CLP4 برای شروع یادگیری و کارهای عمومی انتخابی ایدهآل است، اما پزشکان پس از ورود به مراحل حرفهایتر معمولاً نیاز به ارتقا به مدلهای پیشرفتهتر با استاندارد تصویربرداری بالاتر خواهند داشت. این روند طبیعی است و CLP4 میتواند اولین قدم اقتصادی و هوشمندانه برای ورود به دنیای سونوگرافی باشد.
مشخصات فنی دستگاه سونوگرافی مدل CLP4
| کد انبار کالا | Manufacturer
Code |
تایپ | مدهای تصویر برداری | تعداد المنت | فرکانس MHz | وزن (گرم) | رنگ | شعاع |
| CLP4 | CLP4-UPROBE C | کانوکس/لینیر/فیزآرای | B, B/M, Color, PW, PDI imaging | 128 | 3.5-5
7.5-10 |
120 | سفید | R50
L25 |
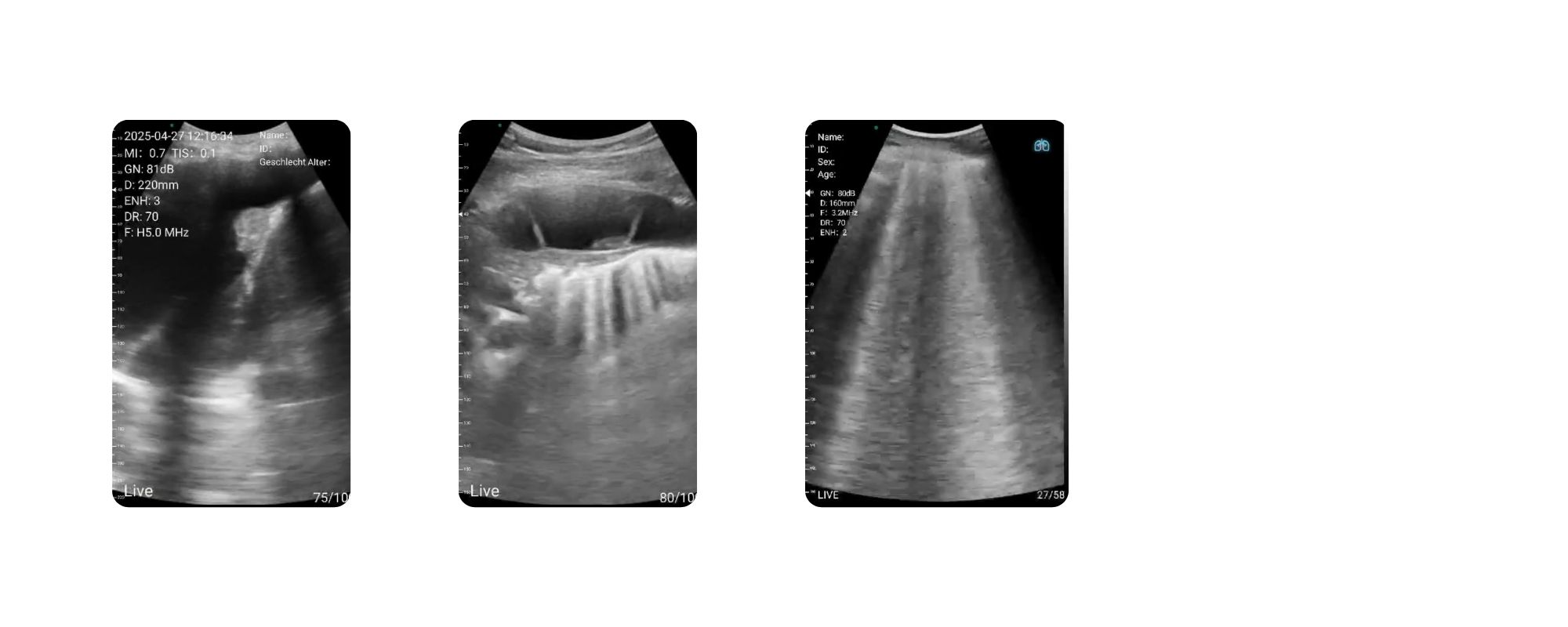
این دستگاه سونوگرافی پرتابل که ابعادی مشابه یک تلفن همراه دارد، با برخورداری از سه پروب سونوگرافی در یک هندل شامل لینیر، کانوکس و فیز آرای (Phased Array) یکی از کاملترین ابزارهای تصویربرداری برای ارزیابی تمام اندامهای داخلی بدن و قلب محسوب میشود. طراحی این پروب دارای 128 المنت فعال است و از تمامی مدهای استاندارد تصویربرداری پزشکی شامل B/M، B-Color، PDI و PW پشتیبانی میکند و به همین دلیل دقت و وضوح تصویربرداری بسیار بالایی ارائه میدهد.
یکی از بهترین مدلهایی که در بیمارستانها، کلینیکها و مطبهای پزشکی مورد استفاده قرار میگیرد، دستگاه سونوگرافی هندهلد CLP4 است. این دستگاه به دلیل بیسیم بودن، اتصال سریع به تلفن همراه و امکان استفاده در تلمدیسین، به گزینهای ایدهال برای محیطهای درمانی پرمشغله و اورژانسی تبدیل شده است.
سونوگرافی جیبی CLP4 در کوتاهترین زمان امواج فراصوت را به اندامهای داخلی ارسال کرده و تصاویر بازتابی را با کیفیت بالا روی نمایشگر گوشی همراه، تبلت، لپتاپ یا مانیتورهای تخصصی سونوگرافی نمایش میدهد. به کمک این دستگاه، پزشک یا تکنسین میتواند منشأ علائم بیمار را با دقت بیشتر و در زمان کوتاهتری ارزیابی کند. علاوه بر این، CLP4 در شرایط اورژانس عملکرد بسیار سریع و قابل اعتمادی دارد و امکان اتصال به سیستم تلمدیسین یا PACS مرکز درمانی نیز در آن فراهم شده است.
کاربرد سونوگرافی هندهلد CLP4 در گروههای مختلف پزشکی
1. پزشکی عمومی و اورژانس
در پزشکی عمومی و اورژانس، سرعت تشخیص حیاتی است. CLP4 در موارد زیر عملکرد برجستهای دارد:
-
بررسی شکایات حاد شکمی مانند آپاندیسیت، کولیک، درد پهلو
-
ارزیابی علائم ریوی مانند پنوموتوراکس، افیوژن پلور
-
بررسی تروما (FAST Exam)
-
سنجش وضعیت هیدراتاسیون با ارزیابی IVC
-
تشخیص سریع خونریزی داخلی یا تجمع مایعات
2. قلب و عروق (Cardiology & Vascular)
سونوگرافی هندهلد CLP4 برای کاربردهای قلبی بسیار مؤثر است و کاربردهای زیر را پوشش میدهد:
-
تصویربرداری چهار حفره قلب (4CH View)
-
بررسی حرکات دیوارههای قلب (برای تشخیص اختلالات حرکتی مانند Hypokinesia)
-
ارزیابی افیوژن پریکارد
-
بررسی پمپینگ قلب، EF اولیه
-
سونوگرافی داپلر جهت بررسی عروق محیطی و مرکزی
-
بررسی وریدهای اندامها برای DVT
3. زنان و زایمان (OB/GYN)
سونوگرافی هندهلد CLP4 برای مادران باردار و متخصصین زنان کاربردهای وسیعی دارد:
-
ارزیابی اولیه وضعیت جنین
-
بررسی ضربان قلب جنین (FHR)
-
بررسی سلامت جفت و میزان مایع آمنیوتیک
-
تشخیص سقط، بارداری خارج از رحم، یا خونریزیهای داخلی
-
بررسی کیست، فیبروم، ضایعات رحمی و تخمدانی
4. نفرولوژی و اورولوژی
تشخیص بیماریهای کلیه، مجاری ادراری و پروستات با CLP4 بسیار دقیق و سریع انجام میشود:
-
بررسی سایز و اکوی کلیه
-
تشخیص سنگ کلیه
-
تشخیص هیدرونفروز
-
بررسی مثانه، پروستات و باقیمانده ادرار (PVR)
-
ارزیابی انسدادها یا تودههای احتمالی
5. عضلانی–اسکلتی (MSK) و طب فیزیکی
برای معاینات عمقی و سطحی عضلات و مفاصل، سونوگرافی هندهلد CLP4 گزینهای ایدهآل است:
-
بررسی تاندونها (Rotator cuff، Achilles، Patellar)
-
بررسی لیگامانها، پارگیها و التهابها
-
ارزیابی هماتوم یا تجمع مایع
-
بررسی عضلات سطحی و عمقی
-
کمک به تزریقهای دقیق (Guided Injection)
6. ریه و پزشکی داخلی
این دستگاه برای متخصصین ریه و داخلی نیز بسیار کاربردی است:
-
تشخیص پنومونی
-
بررسی خطوط B و ارزیابی ادم ریه
-
شناسایی سریع افیوژنهای پلور
-
بررسی دیافراگم و عملکرد تنفسی
7. سونوگرافی در منزل (Home Care)
با توجه به وزن سبک و اتصال بیسیم، CLP4 بهترین گزینه برای:
-
پیگیری بیماران مسن
-
مراقبت از بیماران بستری در منزل
-
چکاپهای دورهای
-
معاینه مادران باردار بدون نیاز به جابهجایی
-
کاهش هزینهها و افزایش رفاه بیمار
سونوگرافی هندهلد CLP4 با توانایی پوشش انواع معاینات سطحی، عمقی، عضلانی، شکمی، قلبی و عروقی، به یکی از کاملترین ابزارهای تصویربرداری سیار تبدیل شده است. این دستگاه با کیفیت تصویر بالا، سرعت پردازش مناسب و قابلیت حمل، انتخابی ایدهآل برای پزشکان همهی تخصصها و همچنین خدمات سونوگرافی در منزل است
پیشنهاد به مطالعه بیشتر: آموزش سونوگرافی ریه
خرید و قیمت دستگاه سونوگرافی سونواستار CLP4
همانطور که گفته شد، دستگاه سونوگرافی هندهلد CLP4 مزایای بسیاری دارد که خرید آن را برای پزشکان بهصرفه و کاربردی میکند. وزن بسیار سبک، قابلیت حمل آسان، کاربردهای گسترده در تشخیص و درمان بیماریها، مدهای مختلف تصویربرداری و وجود باکس آنتیشاک تنها بخشی از این مزیتها هستند.
این دستگاه جدید علاوه بر امکانات کامل اندازهگیری و اپلیکیشن بهروز، دارای قابلیت تلمدیسین و ارسال تصاویر و ویدیوهای سونوگرافی بیمار است. همچنین ویژگی Screen Sharing (اسکرینشیرینگ) امکان آموزش و مشاوره از راه دور را برای پزشکان فراهم میکند. مجموع این قابلیتها، خرید سونوگرافی هندهلد CLP4 را به یک انتخاب ضروری برای متخصصانی تبدیل میکند که به یک ابزار دقیق و قابلاعتماد جهت تشخیص بهتر نیاز دارند.
اگر پزشک هستید و به دنبال یک سونوگرافی هندهلد کاربردی هستید، برای دریافت اطلاعات بیشتر درباره قیمت و مشخصات این مدل و آگاهی از قیمت و شرایط خرید دستگاه سونوگرافی و همچنین دریافت مشاوره تخصصی و شرکت در دوره های آموزش سونوگرافی، میتوانید با کارشناسان ما تماس بگیرید یا از طریق واتساپ و تلگرام پیام ارسال نمایید.
شما میتوانید برای مقایسه فنی سه مدل دو سر CLP4، C4PL و C5PL درخواست دمو خود را به کارشناسان ما اعلام کنید یا فرم دمو را تکمیل نمایید. ضمناً میتوانید نمونه تصاویر سونوگرافی دستگاههای سونوستار که توسط سایر پزشکان تهیه شده است را در کانال تلگرام ما مشاهده کنید







این دستگاه هم پروب لینیر دارد و کم کانوکس؟ تفاوتش با C4PL و C5 PL تو چی هست؟
دستگاه CLP4-UProbe C به مانند دو مدل قبلی C4PL و C5PL، دارای پروبهای لینیر و کانوکس است. همچنین، این دستگاه قابلیت تصویربرداری در مد کاردیاک (قلبی) را نیز دارد.
تفاوتهای کلیدی CLP4 نسبت به دو مدل دیگر شامل موارد زیر است:
• تعداد المنتهای پیزوالکتریک: CLP4 دارای ۱۲۸ المنت پیزوالکتریک است، مشابه مدل C4PL، که کیفیت تصویر خوبی را ارائه میدهد.
• فوت پرینت پروب لینیر: فوت پرینت پروب لینیر CLP4 ۲۵ میلیمتر است، در حالی که فوت پرینت پروب لینیر در C4PL و C5PL ۴۰ میلیمتر است. این موضوع به CLP4 امکان تمرکز بر نواحی باریک و کمعمق را میدهد.
• مقاومت در برابر نفوذ آب: پروب CLP4 نسبت به نفوذ آب مقاومت کمتری دارد و ضد آب نیست. این به این معناست که باید در شرایط خشک و بدون تماس مستقیم با آب استفاده شود.
به طور کلی، CLP4 به عنوان یک دستگاه با قابلیتهای مشابه دو مدل دیگر، اما با تمرکز بر جزئیات خاص و نیازهای خاص تصویربرداری، طراحی شده است.
آیا قطعات یدکی برای دستگاههای سونوگرافی شما در دسترس است؟
بله، ما تمامی قطعات یدکی مورد نیاز برای دستگاههای سونوگرافی را در دسترس داریم. در صورت نیاز به تعویض یا تعمیر قطعات، میتوانید به راحتی از خدمات پس از فروش ما استفاده کنید و قطعات اصلی را دریافت کنید.
دستگاه های سونو گرافی موبایل سو نو استار چه تفاوتی، با دستگاه های، سنتی دارند؟
دستگاههای سونوگرافی موبایل سونواستار سبک، قابلحمل و بیسیم هستند، در حالی که دستگاههای سنتی بزرگ و سنگیناند. این دستگاهها امکان اتصال به گوشیهای هوشمند را فراهم کرده و با اپلیکیشن اختصاصی سونواستار، تجربهای مدرن و کارآمد را ارائه میدهند.
مزیت خرید دستگاه از نمایندگی انحصاری چیست؟
خرید از شرکت ایده گستر قدرت بهعنوان نماینده انحصاری سونواستار در ایران، شامل گارانتی معتبر، خدمات پس از فروش حرفهای و پشتیبانی کامل میشود. همچنین، مشتریان به دورههای آموزشی و خدمات ویژه دسترسی دارند.
آیا امکان تست دستگاه سونوواستار قبل از خرید وجود دارد؟
بله، شرکت ایده گستر قدرت امکان تست دستگاههای سونوواستار را برای مشتریان فراهم کرده است. پزشکان میتوانند قبل از خرید، دستگاه را امتحان کنند و از کیفیت تصویر و کارایی آن اطمینان پیدا کنند. ما با این شفافیت و تعهد، اعتماد مشتریان را جلب میکنیم.
تفاوت خدمات پس از فروش شما با سایر شرکت ها چیست؟
ما در ایده گستر قدرت به ارائه خدمات پس از فروش جامع و سریع متعهد هستیم. تیم پشتیبانی ما شامل کارشناسان متخصصی است که در کوتاهترین زمان ممکن مشکلات مشتریان را برطرف میکنند. همچنین امکان ارائه قطعات یدکی و بهروزرسانی نرمافزار نیز وجود دارد.
چگونه می توان از خدمات پس از فروش دستگاه های سونواستار استفاده کرد؟
برای استفاده از خدمات پس از فروش، کافی است با شرکت ایده گستر قدرت تماس بگیرید. تیم فنی و پشتیبانی شرکت آماده رفع مشکلات، تعمیر دستگاه و ارائه مشاوره هستند.
آیا برای دستگاه های سونوواستار لوازم جانبی موجود است؟
بله، شرکت ما تمامی لوازم جانبی مورد نیاز از جمله پروبهای مختلف، کابلهای اتصال، و کیف حمل را ارائه میدهد. تمامی این محصولات با کیفیت بالا و متناسب با دستگاه طراحی شدهاند.
چگونه میتوانم از تخفیفها و پیشنهادات ویژه سونواستار مطلع شوم؟
برای مطلع شدن از تخفیفها و پیشنهادات ویژه، میتوانید عضو واتس اپ ما ما شوید یا ما را در شبکههای اجتماعی دنبال کنید. ما بهطور منظم اطلاعات جدید و پیشنهادات ویژه را با مشتریان خود به اشتراک میگذاریم.
در بخش ICU، پروب سونوگرافی سونواستار بهطور ویژه برای تشخیص و مانیتورینگ وضعیت ریهها، به ویژه در بیمارانی که در وضعیت بحرانی هستند، استفاده میشه. این دستگاه به من کمک میکنه که بهسرعت مایعات پلورال و وضعیت تنفسی بیماران رو بررسی کنم.
سلام و وقت بخیر! خوشحالیم که دستگاه سونوگرافی سونواستار و پروب CLP4 توانسته به شما در تشخیص و مانیتورینگ وضعیت ریهها و مایعات پلورال بیماران در وضعیت بحرانی کمک کند. این دستگاه برای چنین شرایط حساسی بسیار مناسب است و دقت بالایی در ارزیابی وضعیت تنفسی دارد. اگر سوالی داشتید یا به راهنمایی بیشتری نیاز داشتید، تیم ما همیشه آماده پاسخگویی است. از اعتماد شما به سونواستار سپاسگزاریم!
قابلیت استفاده از مدهای Power Doppler و Color Doppler در دستگاه سونوگرافی موبایل سونواستار، تصاویر واضح و دقیقی از جریان خون فراهم میکنه.
سلام و وقت بخیر!
بسیار ممنونم از کامنت خوب شما. خوشحالیم که دستگاه سونوگرافی موبایل سونواستار توانسته تجربه مناسبی برای شما فراهم کند. قابلیتهای Power Doppler و Color Doppler در این دستگاه واقعاً کمک میکنند تا تصاویر واضح و دقیقی از جریان خون به دست بیاید که میتواند در تشخیص سریع و دقیق شرایط مختلف بسیار مؤثر باشد. امیدواریم که این دستگاه همچنان در روند کار شما مفید واقع شود.
با آرزوی موفقیت برای شما در تمامی بررسیها و درمانها!
پریستهای آماده برای تخصصهایی مثل زنان و زایمان، تصاویر فوقالعاده دقیقی رو برای بررسی وضعیت جنین فراهم میکنه.
سلام، ممنون از توضیحاتتون!
کاملاً درست میفرمایید؛ پریستهای آماده در دستگاه CLP4-UPROBE C برای تخصصهایی مثل زنان و زایمان به پزشکان این امکان رو میده که تصاویر فوقالعاده دقیق و شفافی از وضعیت جنین دریافت کنن. این ویژگی کمک میکنه تا بررسیهای دقیقتر و تشخیصهای مطمئنتری انجام بشه. امیدواریم این دستگاه کارایی بالایی برای شما داشته باشه!
کیفیت سونوگرافی موبایل سونواستار واقعا عالیه! علاوه بر اینکه دستگاه خیلی سریع و دقیق عمل میکنه، رابط کاربری اپلیکیشن هم بسیار ساده و کاربرپسند است. ارتباط با محصولات اپل و اندروید هم بدون مشکل بود. واقعا از پشتیبانی شما راضی هستم.
از نظرات مثبت شما خیلی ممنونیم. رضایت شما برای ما خیلی مهم است. در صورت نیاز به راهنمایی بیشتر یا هرگونه سوال، همیشه آمادهایم تا شما را راهنمایی کنیم.
واقعا از سرعت و دقت پشتیبانی شما راضی هستم. هر سوالی داشتم، به سرعت پاسخ گرفتم. دستگاه هم بسیار کارآمد است.
از نظر شما خیلی سپاسگزاریم. ما همیشه در تلاشیم که بهترین خدمات را ارائه دهیم. در هر زمان که نیاز به پشتیبانی داشتید، در خدمت شما خواهیم بود.
دستگاه سونوگرافی سونواستار به دلیل قابلیت حمل راحت و کیفیت تصویر عالی یکی از بهترین انتخابهایی بوده که داشتم.
از نظر شما سپاسگزاریم. رضایت شما برای ما بسیار ارزشمند است. هر زمان که نیاز به مشاوره یا پشتیبانی داشتید، خوشحال خواهیم شد که کمک کنیم.
دستگاه سونوگرافی سونواستار با امکانات فوقالعادهای که داره، بهترین انتخاب برای من بوده. پشتیبانی شما هم خیلی سریع و مؤثر بود.
ممنون از شما که از دستگاه و خدمات ما راضی هستید. هدف ما ارائه بهترین خدمات به مشتریان عزیز است. در هر زمانی که نیاز به راهنمایی داشتید، همیشه در خدمت شما خواهیم بود.
پروبهای بدون سیم سونوگرافی واقعاً کار را راحتتر کردهاند. هیچ مشکلی در اتصال و کار کردن با دستگاه نداشتم.
خوشحالیم که از پروبهای بدون سیم راضی هستید. این ویژگی بهمنظور راحتی شما طراحی شده است. در هر زمان که نیاز به مشاوره یا راهنمایی بیشتر داشتید، تیم ما در خدمت شماست.
آیا پروبهای سونواستار برای اسکنهای تخصصی مانند قلب و عروق مناسب هستند؟
بله، انواع پروبهای خطی، محدب، و قلبی برای کاربردهای مختلف پزشکی در دسترس هستند.
آیا امکان ارتقا نرمافزاری برای دستگاه وجود دارد؟
بله، آپدیتهای نرمافزاری بهصورت رایگان در دسترس کاربران قرار میگیرد.
چطور میتوانم دستگاه را سفارش دهم؟
شما میتوانید از طریق وبسایت رسمی، تماس تلفنی یا پیام در واتساپ دستگاه را سفارش دهید.
دستگاه ضد آب هست؟
بله، پروبها مقاوم به اب و دارای استاندارد IPX5 هستند.
واقعا ارزش خرید داشت چون علاوه بر دستگاه، خدمات و آموزش هم دریافت کردم.
بسیار خرسندیم که خدمات ما برای شما ارزشمند بوده است. ما معتقدیم دستگاه و آموزش باید در کنار هم ارائه شوند.
پرسنل شرکت با صبر و دقت همه سؤالات من رو جواب دادن. حس اعتماد زیادی ایجاد شد.
از حسن نظر شما ممنونیم. ایجاد اعتماد از طریق پاسخگویی دقیق، یکی از اصول کاری ماست.
خیلی خوبه که نماینده رسمی هستن. مطمئنم خدمات و قطعات همیشه معتبر و اورجیناله.
بله، ایده گستر قدرت نماینده انحصاری سونواستار در ایران است و اصالت کالا و خدمات همواره تضمین میشود.
جلسه دموی قبل از خرید خیلی کمک کرد که راحتتر تصمیم بگیرم. ممنون از تیم حرفهای
از ابراز رضایت شما سپاسگزاریم. ارائه دموی عملی پیش از خرید، برای اطمینان خاطر کاربران در نظر گرفته شده است.
آموزش آنلاین که برای من گذاشتن خیلی عالی بود. حتی از راه دور تونستم دستگاه رو کامل یاد بگیرم.
خوشحالیم که آموزش آنلاین برای شما مفید بوده است. ما همیشه تلاش میکنیم با روشهای متنوع آموزشی در کنار کاربران باشیم.
دستگاه خیلی سریع به گوشی وصل شد و آموزش تیم باعث شد در همان روز اول بتونم اسکن انجام بدم.
خوشحالیم که تجربه شما مثبت بوده است. هدف ما ارائه دستگاهی ساده همراه با آموزش کامل است.
از نظر خدمات پس از فروش هیچ وقت تنها نبودم. هر سوالی داشتم بلافاصله راهنمایی شدم.
از بیان تجربه خود سپاسگزاریم. پاسخگویی سریع یکی از مهمترین تعهدات ماست.
بار اول بود دستگاه سونوگرافی موبایل استفاده میکردم، ولی تیم پشتیبانی قدم به قدم کنارم بود.
خوشحالیم که تجربه شما مثبت بوده است. پشتیبانی آموزشی ویژهی کاربران تازهکار همیشه در دسترس است.
آیا این دستگاه برای POCUS توصیه می شود؟
بله، SonoStar یکی از گزینههای بسیار مناسب برای کاربردهای POCUS است
قیمت دستگاه نسبت به بازار چگونه است؟
قیمت دستگاههای ما بسیار منطقی و رقابتی است، بدون اینکه کیفیت تصویر یا امکانات را قربانی کنیم
آیا پشتیبانی و خدمات پس از فروش ارائه می کنید؟
بله، تیم خدمات پس از فروش ما در تمام مراحل همراه شماست و پاسخگو هرگونه سوال یا مشکل است
آیا تصاویر قابلیت ذخیره و ارسال برای مشاوره دارند؟
بله، تصاویر و ویدئوها با فرمتهای پزشکی ذخیره و بهراحتی قابل اشتراکگذاری هستند