دستگاه سونوگرافی جیبی، یکی از انواع دستگاه های سونوگرافی هندهلد است که می توان از آن برای تشخیص و درمان بسیاری از بیماری ها استفاده کرد. این نوع از دستگاه های سونوگرافی به خصوص برای بیمارانی که امکان حرکت یا خروج از منزل را ندارند و یا مواردی که پزشک نیاز به تشخیص سریع در مطب و یا محل بیمار دارد، مورد استفاده قرار می گیرند.
دستگاه سونوگرافی موبایل C5PL که شرکت ایده گستر قدرت آن را به متقاضیان عرضه می کند، یکی از بهترین دستگاه های موجود در این زمینه است. شرکت ایده گستر قدرت، ارائه دهنده بهترین تجهیزات پزشکی پرتابل و موبایل با بالاترین کیفیت است که می توانید سایر محصولات آن همچون سونوگرافی های پرتابل، مبله، مانیتورهای سونوگرافی و لوازم جانبی که به جهت مراقبت و افزایش طول عمر دستگاه استفاده میشود را مشاهده نمایید. در ادامه ضمن معرفی ویژگی های دستگاه سونوگرافی جیبی، شرکت ایده گستر قدرت، کاربرد و نحوه عملکرد آن را بررسی می کنیم.
ویژگی های دستگاه سونوگرافی جیبی C5PL
این مدل دستگاه سونوگرافی جیبی یا موبایلی به دلیل اینکه نسبت به سایر دستگاه ها، ابعاد کوچکتر و وزن کمتری دارد (ابعاد تلفن همراه)، قابلیت حمل و نقل آسانی نیز دارد. وزن این دستگاه به طور معمول در حدود 250 گرم است که باعث میشود جابجایی آنها راحت باشد.
هدف اولیه از ساخت این دستگاه سونوگرافی جیبی، این بود که پزشکان بتوانند تشخیص اولیه و با اطلاعات سونوگرافیک در لحظه نسبت به مشکلات درونی بیمار داشته باشند، یک تصویر برداری REAL TIME و تشخیص در لحظه بجای انتظار و تشخیص بر اساس یک عکس سونوگرام که در مرکز تصویربرداری و با فاصله زمانی و هدر رفت وقت گرفته شده است، در امر درمان هرثانیه اهمیت ویژه ایی دارد و این موضوع در مورد بیماران بدحال با اهمیت تر خواهد بود. در ابتدا که این دستگاه ساخته شد، از آن فقط برای مشاهده مایعات آزاد درون بدن انسان استفاده میشد. به مرور زمان استفاده از سونوگرافی های جیبی به موارد بیشتری همچون سونوگرافی تشخیصی تمام بدن و تمامی گرایشهای پزشکی و حتی تا سونوگرافی صورت و یا سونوگرافی در ارتوپدی و حتی سونوگرافی دامپزشکی در محل گسترش یافت.
اجزای سونوگرافی جیبی
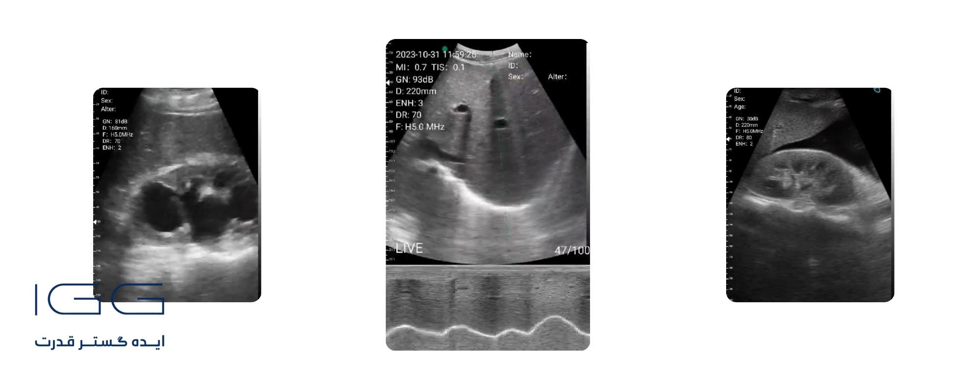
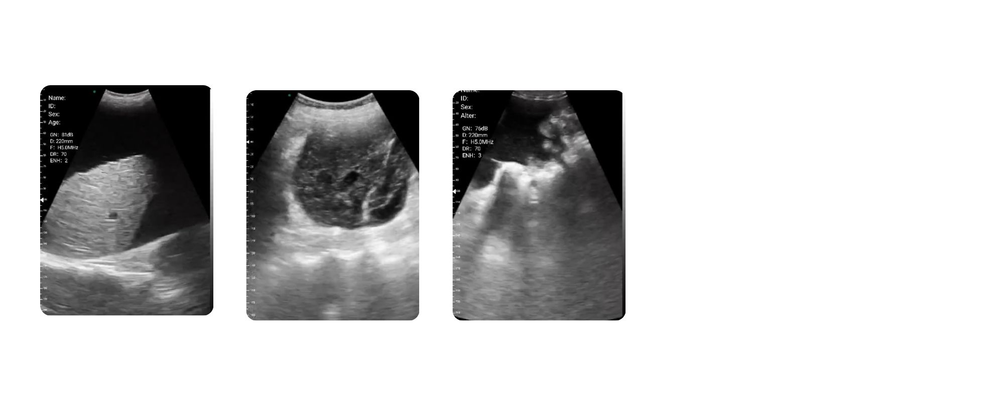
سونوگرافی جیبی مانند انواع سونوگرافی پرتابل و سونوگرافی مبله، از اجزای پیچیدهای تشکیل نشده است. در واقع این دستگاه شامل یک پروب است که وظیفه ساطع کردن امواج فراصوت را برعهده دارد. این امواج با اندامهای داخلی بدن شخص برخورد میکند و سپس به پروب سونوگرافی باز میگردند. بازگشت این امواج، به امواج تصویری تبدیل شده و روی صفحه نمایش مشاهده میشود.
سونوگرافی جیبی سونواستار، برای تصویربرداری نیاز به نمایشگر مخصوص به خود را ندارد. تصویر پس از بازگشت امواج فراصوت از بدن بیمار روی صفحه نمایش گوشی موبایل، تبلت ویا لپتاپ شما مشخص میشود، و این سهولت استفاده از دستگاه سونوگرافی جیبی را افزایش میدهد. در واقع این دستگاه سونوگرافی، یک گدجت بسیار کوچک است که پزشک میتواند آن را به راحتی حمل کند و هنگام معاینات بیماران در طول فرآیند کاری خود، به راحتی وضعیت داخلی بدن او را ببیند و مشاهدات و تشخیص سریع و دقیقتری داشته باشد.
پیشنهاد به مطالعه بیشتر: راهنمای خرید دستگاه سونوگرافی پرتابل
مشخصات فنی دستگاه سونوگرافی جیبی SonoStar مدل C5PL
| کد انبار کالا | Manufacturer Code | تایپ | مدهای تصویر برداری | تعداد المنت | فرکانس MHz | وزن (گرم) | رنگ | شعاع |
| C5PL | 6CPL-CPROBE CL | کانوکس/خطی/ قلبی | B, B/M, Color, PW, PDI Imaging | 192 | 3.5-5
7.5-10 |
258 | سفید | R60
L40 |
کاربرد دستگاه سونوگرافی جیبی مدل C5PL
دستگاه سونوگرافی موبایل C5PL، همچون دیگر انواع دستگاه سونوگرافی هندهلد دوسر که توسط ایده گستر قدرت ارائه می شود، کاربردهای بسیاری دارد. این کاربردها با توجه به دارا بودن 3 پروب خطی، عمقی و قلبی در یک دستگاه موبایل که حتی در جیب روپوش پزشکی شما قرار خواهد گرفت به شرح زیر است:
پروب Convex — پروب اصلی اسکنهای عمیق و عمومی
پروب کانوکس برای بررسی ساختارهای عمقی بدن طراحی شده و بیشترین استفاده را در اسکنهای شکمی، زنان و اورژانس دارد.
گروههای پزشکی و کاربردهای گسترده پروب Convex
زنان و زایمان (OB/GYN)
-
بررسی ضربان قلب جنین
-
تشخیص سن بارداری
-
بررسی موقعیت و سلامت جفت
-
ارزیابی AFI (مایع آمنیوتیک)
-
تشخیص حاملگی خارجرحمی
-
بررسی ساک حاملگی در هفتههای اول
-
ارزیابی رشد جنین در هر هفته
-
اندازهگیریهای کامل: CRL, BPD, HC, AC, FL
طب داخلی
-
اسکن کامل شکم
-
بررسی کبد (Fatty liver، هپاتومگالی، کبد چرب)
-
کلیهها و تشخیص سنگ، هیدرونفروز
-
طحال، پانکراس
- gallbladder و تشخیص سنگ صفرا
- prostate در مردان
-
مثانه و باقیمانده ادرار (PVR)
اورژانس (Emergency Medicine)
-
انجام FAST و eFAST
-
تشخیص خونریزی داخلی
-
بررسی مایع پلور
-
بررسی AAA
-
تشخیص مشکلات شکمی در بیماران پایدار و ناپایدار
مراقبتهای ویژه ICU
-
بررسی IVC برای تشخیص حجم مایعات
-
ارزیابی پاسخی بیمار به مایعات
-
بررسی وضعیت ارگانهای شکمی در بیماران بدحال
کلینیکهای عمومی (GP)
-
انجام چکاپ شکمی کامل
-
بررسی درد شکم، تهوع، حساسیت، تب
-
بررسی درجه فوریت بیمار بدون ارجاع فوری به بیمارستان
طب ورزشی / ارتوپدی
-
بررسی عضلات بزرگ، تودهها و خونریزیهای عمقی
-
بررسی هماتومها
-
ارزیابی آسیب عضلات بزرگ (ران، باسن، لگن)
پروب Linear — پروب رزولوشنبالا برای سطحیترین و دقیقترین اسکنها
پروب لینیر مهمترین پروب برای تصویربرداری از بافتهای سطحی، عروق و اسکنهای MSK است.
گروههای پزشکی و کاربردهای گسترده پروب Linear
عضلانی اسکلتی (MSK)
-
بررسی تاندونها (آشیل، روتاتور کاف، مچ)
-
بررسی رباطهای آسیبدیده
-
تشخیص پارگیهای جزئی و کامل
-
بررسی التهابها، bursitis
-
بررسی مفاصل (effusion)
-
بررسی عضلات در آسیبهای ورزشی
عروق (Vascular)
-
تشخیص DVT
-
ارزیابی کاروتید
-
بررسی ورید بازویی و فمورال
-
بررسی جریان خون سطحی
-
بررسی ترومبوز یا انسداد
طب اورژانس
-
تشخیص سریع آبسه
-
تشخیص سلولیت از آبسه
-
بررسی بافت نرم و خونریزی
-
بررسی اجسام خارجی سطحی (چوب، شیشه، فلز)
جراحی و پروسیجرها
-
راهنمایی IV line
-
راهنمایی Central Line / PICC Line
-
انجام Nerve Block
-
بیحسی منطقهای تحت هدایت سونو
- Drainage آبسهها
پوست و زیبایی (Dermatology / Aesthetic)
-
بررسی تودهها و عروق
-
بررسی تزریق فیلر و عوارض آن
-
تشخیص nodules
-
بررسی لایههای پوستی قبل از درمان
اطفال (Pediatrics)
-
بررسی تستیکول
-
بررسی بافت نرم
-
بررسی عفونت و آبسهها
-
بررسی دیسپلازی لگن
طب ورزشی
-
بررسی پارگی عضلات
-
بررسی تاندونها
-
ارزیابی آسیبهای acute و chronic
پروب Cardiac — پروب تخصصی قلب و ارزیابی بیماران بحرانی
پروب قلبی یا Phased Array سریعترین ابزار برای ارزیابی عملکرد قلب، EF و حرکات دیواره است.
گروههای پزشکی و کاربردهای گسترده پروب Cardiac
قلب و عروق (Cardiology)
-
بررسی EF
-
ارزیابی حرکات دیواره (Hypokinesia، Akinesia)
-
بررسی اندازه دهلیز و بطنها
-
بررسی وضعیت دریچهها
-
تشخیص اولیه cardiomyopathy
-
ارزیابی pericardial effusion
اورژانس (ED)
-
بررسی سریع عملکرد قلب
-
تشخیص Tamponade
-
بررسی وضعیت بیمار در shock
-
بررسی علت تنگی نفس
-
ارزیابی قلب در بیماران با chest pain
ICU / مراقبتهای ویژه
-
ارزیابی همودینامیک بیمار
-
بررسی حجم خون و پاسخ به مایعات
-
ارزیابی فوری بیماران intubated
-
بررسی فشار بر قلب در بیماران septic shock
اتاق عمل (OR) / بیهوشی
-
بررسی وضعیت قلب قبل از عمل
-
ارزیابی rapid pre-op
-
بررسی عملکرد قلب در جراحیهای طولانی
L&D (زایمان و زنان)
-
بررسی وضعیت قلب مادر هنگام زایمان
-
ارزیابی همودینامیک مادر با خونریزی
طب داخلی
-
ارزیابی اولیه عملکرد قلب در کلینیک
-
بررسی علت تورم اندامها
-
بررسی نارسایی قلبی مشکوک
دستگاه هندهلد C5PL با داشتن Convex + Linear + Cardiac تبدیل میشود به یک سیستم سونوگرافی کامل برای:
پزشکان داخلی | زنان | قلب | ارتوپدی | MSK | اورژانس | جراحی | ICU | GP | طب ورزشی | اطفال | پوست | بیهوشی | L&D| نورولوژی|زیبایی|
همه این گروهها میتوانند بدون نیاز به دستگاههای بزرگ، در هر زمان و مکان اسکنهای حرفهای و کلینیکی انجام دهند. از این دستگاه در موارد بسیاری استفاده می شود. حتی می توان از آن برای سونوگرافی دامپزشکی هم استفاده کرد. از آنجا که این سونوگرافی، قابل حمل است می توان آن را برای سونوگرافی انواع دام سبک، در هر مکانی مورد استفاده قرار داد.
ویژگیهای سونوگرافی جیبی مدل C5PL — نسل جدید تصویربرداری پرتابل
سونوگرافی هندهلد C5PL یکی از پیشرفتهترین پروبهای جیبی نسل جدید است که با طراحی سبک، اتصال کاملاً بیسیم و مدهای تصویربرداری حرفهای، تجربهای متفاوت از اسکنهای پرتابل را برای پزشکان ایجاد میکند. این دستگاه با فناوری روز دنیا، امکاناتی ارائه میدهد که معمولاً فقط در دستگاههای بزرگ بیمارستانی دیده میشود.
چرا سونوگرافی جیبی C5PL انتخاب اول پزشکان است؟
طراحی سبک، قابل حمل و مناسب ویزیتهای سیار
-
وزن فوقالعاده سبک (حدود موبایل)
-
حمل آسان در کیف، جیب یا کوله
-
آماده استفاده در اورژانس، مطب، کلینیک، ICU، آمبولانس و ویزیتهای منزل
کاملاً وایرلس — بدون کابل، بدون محدودیت
-
اتصال بدون سیم به موبایل، تبلت و کامپیوتر
-
امکان شارژ وایرلس
-
حذف کامل کابلها در حین اسکن برای سرعت بیشتر و آزادی دست پزشک
طراحی مقاوم با باکس Anti-Shock
-
باکس مقاوم در برابر ضربه
-
مناسب محیطهای پرفشار بیمارستان، اورژانس و انتقال بیمار
امکانات تصویربرداری حرفهای و مدهای کامل
-
چندین Mode تصویربرداری با شفافیت بالا
-
مناسب برای اسکنهای شکمی، زنان، MSK، عروق، اورژانس و پزشکی عمومی
-
قابلیت ذخیره عکس و فیلم با کیفیت بالا
-
امکان پردازش تصویر در اپلیکیشن اختصاصی
تلهمدیسین کامل + اشتراکگذاری لحظهای تصویر Telemedicine
-
ارسال فوری تصاویر و ویدئوهای سونوگرافی بیمار برای مشاوره تخصصی
-
کاربرد عالی در مناطق دورافتاده، کلینیکهای کممنبع و ویزیت در خانه
Screen Sharing
-
اشتراکگذاری زنده صفحه برای آموزش و Consultation
-
مناسب کلاسهای آموزشی، کارگاهها و ارزیابیهای تخصصی
گزارشنویسی داخل اپلیکیشن
-
ثبت شرح حال، نتیجه اسکن و ذخیره اطلاعات بیمار
-
قابلیت خروجیگیری و ارسال گزارش به بیمار یا پزشک دیگر
سازگاری گسترده با تمامی دستگاهها
-
اتصال به موبایل، تبلت، لپتاپ و کامپیوتر
-
اتصال بیسیم به مانیتور 15 اینچ لپتاپی
-
مناسب برای کلینیکها، اتاق عمل، ویزیتهای سیار و آموزش
اپلیکیشن رایگان و سازگار با همه سیستمها
- iOS، Android، Windows
-
بدون هزینه اشتراک
-
بهروزرسانیهای رایگان
استانداردهای جهانی و تاییدیههای معتبر
-
دارای FDA امریکا
- CE اروپا
-
استاندارد ISO 13485
-
دارای تاییدیه وزارت بهداشت ایران
-
یک سال گارانتی و ۱۰ سال خدمات پس از فروش
-
پشتیبانی کامل توسط شرکت ایدهگستر قدرت
تجربه استفاده و مشاوره فنی سونوگرافی موبایل C5PL
برای آشنایی کامل با ویژگیها، کاربردها و امکانات عملی دستگاه سونوگرافی جیبی C5PL، شما چندین فرصت منحصر به فرد خواهید داشت:
تماس مستقیم با کارشناسان
- شماره تماس: 09122450731 – 02122779437
-
امکان دریافت مشاوره تخصصی درباره خرید، کاربردهای بالینی و تکنیکهای تصویربرداری
-
پاسخ به تمامی سوالات شما درباره گارانتی، خدمات پس از فروش و تجهیزات جانبی
مشاوره و پشتیبانی از طریق واتساپ
-
واتساپ فعال برای پاسخگویی سریع و زنده
-
دریافت راهنماییهای عملی و آموزشی، ارسال ویدئوها و تصاویر نمونه
-
امکان دسترسی به ویدئوهای ثبت شده توسط دیگر همکاران و مشاهده نمونههای واقعی
دمو آنلاین و حضوری دستگاه
-
دموی آنلاین برای همکاران شهرستان، مشاهده عملکرد واقعی دستگاه و پرسش و پاسخ زنده با کارشناسان
-
دموی حضوری در تهران برای تجربه عملی و بررسی پروبها و مدهای تصویربرداری
-
فرصت تجربه واقعی استفاده از C5PL قبل از خرید
ثبتنام کلاسهای آموزشی
-
ثبتنام در دورههای جامع آموزش سونوگرافی همراه (Handheld / Pocket Ultrasound)
-
آموزش نوبولوژی، مدهای تصویربرداری، پروبها و کاربردهای بالینی
-
یادگیری تکنیکهای عملی و نکات حرفهای برای اورژانس، کلینیک، ICU و ویزیتهای در مطب و یا سیار
-
ثبتنام کلاسها و کارگاهها
دنبال کردن اطلاعات و آموزش آنلاین
-
مطالعه مطالب تخصصی درباره سونوگرافی همراه از طریق اینستاگرام و تلگرام
-
دسترسی به ویدئوها، کیسها و آموزشهای عملی برای افزایش مهارت بالینی
با استفاده از این امکانات، شما میتوانید هم تصاویر و ویدئوهای واقعی ثبت شده توسط دیگر همکاران را مشاهده کنید، هم دموی آنلاین و حضوری دستگاه را تجربه کنید و هم در کلاسهای آموزش عملی سونوگرافی ثبتنام کنید. این فرصت یکپارچه، مسیر شما را برای آشنایی جامع و تسلط بر سونوگرافی هندهلد C5PL کوتاه و سریع میکند.
قیمت دستگاه سونوگرافی جیبی C5PL و شرایط خرید
دستگاههای سونوگرافی جیبی (Handheld / Pocket Ultrasound) که در بازار عرضه میشوند، هر یک متعلق به برند و کشور تولیدکننده خاصی هستند. این تنوع تولید و برند باعث تفاوت قابل توجه در قیمت و کیفیت دستگاهها شده است. اما هنگام خرید، کیفیت تصویر، دقت و کارایی واقعی دستگاه از هر عامل دیگری مهمتر است؛ چرا که صرف هزینه زیاد برای دستگاهی که تصاویر واضح و دقیقی ارائه نمیدهد، مقرون به صرفه نخواهد بود.
دستگاه سونوگرافی جیبی مدل C5PL با کیفیت بالا و قابلیتهای حرفهای، در سطح جهانی با قیمت پایه ۴۰۰۰ دلار عرضه شده است و در بسیاری از کشورها، از جمله کانادا، امارات و ایران، توسط شرکت ایدهگستر قدرت قابل ارائه است. تمامی دستگاهها به صورت تحویل محلی در اختیار پزشکان قرار میگیرد تا فرآیند خرید سریع، مطمئن و بدون دغدغه باشد.
همچنین، ایدهگستر قدرت در فرصتهای مختلف، شرایط خرید نقدی و اقساط کوتاهمدت و بلندمدت را برای پزشکان فراهم میکند تا انتخاب و خرید دستگاه سونوگرافی جیبی، با شرایط مالی مناسب و آسان امکانپذیر باشد. این فرصتها به ویژه برای کسانی که قصد دارند بدون محدودیت در کلینیک، اورژانس یا ویزیتهای سیار، از پیشرفتهترین تجهیزات سونوگرافی استفاده کنند، بسیار ارزشمند است.
قبل از خرید، همواره کیفیت تصاویر، طول عمر دستگاه و استانداردهای بینالمللی را بررسی کنید تا بهترین گزینه را برای کاربرد بالینی خود انتخاب نمایید. با C5PL، شما ترکیبی از دقت، قابلیت حمل و کیفیت تصویر حرفهای را در یک دستگاه جیبی در اختیار خواهید داشت.
خرید دستگاه سونوگرافی جیبی C5PL
اگر به دنبال خرید یک دستگاه سونوگرافی جیبی حرفهای و مقرونبهصرفه هستید، مدل C5PL یکی از بهترین گزینهها در بازار است. این دستگاه با وجود قیمت بسیار مناسب نسبت به سونوگرافیهای پرتابل و مبله، از نظر کیفیت تصویر، سرعت انتقال دیتا و کارایی بالینی کاملاً قابل رقابت با دستگاههای بزرگ است. خروجی دقیق، ایمنی بالا و عملکرد پایدار، این مدل را به انتخاب محبوب پزشکان در مطب، اورژانس، کلینیک، ویزیت سیار و مراکز دوردست تبدیل کرده است.
برای اطمینان از کیفیت و دریافت خدمات معتبر، توصیه میشود دستگاه را از شرکت ایدهگستر قدرت نماینده انحصاری فروش، آموزش و خدمات پس از فروش کمپانی خوش نام سونواستار تهیه کنید؛ جایی که امکان مشاوره تخصصی، پشتیبانی و دسترسی به آموزشهای معتبر برای شما فراهم شده است.
با عضویت در کانال واتساپ، از دورههای بعدی آموزش سونوگرافی، بروزرسانیهای نرمافزار SonoStar و نکات تخصصی مطلع شوید.
برای اطلاع از قیمت، شرایط خرید و دریافت مشاوره تخصصی، میتوانید از طریق تماس مستقیم و یا واتساپ و تلگرام اقدام نمایید. کارشناسان ما آماده پاسخ گویی به شما خواهند بود.










ممنون از شما
این محصول واقعا کمک کننده هست. مخصوصا همکاران رادیولوژیست زمانی که برای تخلیه ریوی نقاط رو مشخص میکنن جهت درناژ؛ هیچ گونه قطعیتی نیست که اگر از اون نقطه وارد شدید به کلیه، طحال و یا خود ریه سوزن نزنید و مشکلات ثانویه ایجاد نشود. ولی با داشتن همچین وسیله ایی خیلی دقیق میتونید خودتون یک درناژ راحت داشته باشید و مهم تر از همه مطمعن.
تشکر از نظر دقیق و پرکتیکال شما.
سبکترین وزنی و بالاترین کیفیت مربوط به این دستگاه هست؟ دیدم سایت رو نمام محصولات رو. درسته؟!
بله، شما انتخاب درستی دارید! دستگاه سونوگرافی جیبی C5PL-UProbe C واقعاً یکی از سبکترین و باکیفیتترین مدلها در بازار است. این دستگاه دارای ۱۹۲ المنت پیزوالکتریک است که نشاندهنده کیفیت تصویر بسیار بالایی است و به شما امکان میدهد تصاویر واضح و دقیقتری داشته باشید. وزن این دستگاه تنها ۲۵۲ گرم است، که در مقایسه با دیگر دستگاههای هندهلد مشابه وزن بسیار پایینتری دارد. این ویژگیها باعث میشوند که دستگاه C5PL-UProbe C برای استفاده روزمره، بهویژه در کاربردهای POCUS و تصویربرداری سریع، یک انتخاب ایدهآل باشد.
چطور بین پروب کانوکس و لینیر میتونم انتخاب کنم که اکتیو باشه؟ ۲ سر دستگاه پروب هست؟ به کوشی با وای فای وصل میشود یا باوتوث؟
برای انتخاب بین پروب کانوکس و لینیر در دستگاه سونوگرافی جیبی C5PL-UProbe C، کافی است دکمه وسط دستگاه را به مدت ۳ ثانیه نگه دارید تا بتوانید به راحتی بین دو پروب جابهجا شوید. همچنین، در حالت پروب کانوکس میتوانید از طریق پریست وارد مد کاردیاک شوید که برای تصویربرداری از قلب بسیار مفید است.
این دستگاه دارای دو سر پروب است: یک سر لینیر و سر دیگر کانوکس، بنابراین شما میتوانید بسته به نیاز تصویربرداری، بین این دو پروب سوئیچ کنید.
برای اتصال به گوشی، دستگاه از وایفای استفاده میکند تا تأخیر (لگ) در تصویر به حداقل برسد و شما تصاویر روان و دقیقی دریافت کنید.
دستگاه چند سال گارانتی و خدمات دارد؟
دستگاه سونوگرافی جیبی C5PL-UProbe C دارای شرایط گارانتی و خدمات پس از فروش زیر است:
۱ سال گارانتی
این دستگاه دارای ۱ سال گارانتی است که در این مدت هرگونه عیب و نقص تولیدی یا عملکردی تحت پوشش قرار میگیرد. در صورت بروز مشکل، شما میتوانید دستگاه را به نمایندگی مراجعه کرده و آن را تعمیر یا تعویض کنید، بدون اینکه نیازی به پرداخت هزینه اضافی داشته باشید. این گارانتی به شما اطمینان میدهد که دستگاه تحت شرایط استاندارد عملکرد صحیح خواهد داشت.
۱۰ سال خدمات پس از فروش
دستگاه C5PL-UProbe C همچنین ۱۰ سال خدمات پس از فروش ارائه میدهد. این به معنای پشتیبانی و خدماتی است که بعد از پایان دوره گارانتی نیز به مشتریان ارائه میشود. این خدمات میتواند شامل تعمیرات، مشاوره فنی، و تامین قطعات یدکی باشد. هدف از این خدمات، اطمینان از عملکرد بهینه دستگاه و پاسخ به نیازهای مشتریان در طول مدت استفاده از دستگاه است.
۱۰ سال خدمات اکس چنج
علاوه بر این، دستگاه دارای ۱۰ سال خدمات اکس چنج است. این خدمات به شما این امکان را میدهد که در صورت بروز مشکلات جدی یا نیاز به ارتقاء، دستگاه خود را با مدل جدیدتر یا مشابه تعویض کنید. این گزینه به ویژه برای مراکزی که به طور مداوم نیاز به تجهیزات بهروز دارند، بسیار ارزشمند است و به شما این اطمینان را میدهد که همیشه از بهترین تکنولوژیها و کیفیتها بهرهمند خواهید شد.
به طور کلی، این شرایط گارانتی و خدمات پس از فروش نشاندهنده تعهد شرکت به کیفیت و رضایت مشتریان است.
یک سری دستگاه در بازار هست که به اسم برند سونواستار و با قیمت کمتر پرزنت میشود. این موارد چی هستن؟ البته لوگو و نوشته ایی روی پروب نیست!!!!!
دستگاههای سونوگرافی جیبی C5PL-UPROBE C که بدون لوگو و با قیمت پایینتر به فروش میرسند، معمولاً نسخههای غیررسمی یا کپی هستند. این دستگاهها معمولاً فاقد تأیید اصالت، گارانتی، خدمات پس از فروش، و کیفیت مطلوب محصولات اصلی سونواستار هستند. همچنین، دستگاههای تقلبی ممکن است با مواد ارزانتری ساخته شوند و به نرمافزارهای رسمی سونواستار سازگاری نداشته باشند. برای خرید دستگاههای با کیفیت و خدمات پس از فروش معتبر، بهتر است از نمایندگان رسمی برند سونواستار خریداری کنید.
دستگاههای سونوگرافی موبایل شما سیم دارن؟ و وزنشون نسبت به برند های در بازار چگونه است؟
ستگاه C5PL-UPROBE C از برند سونواستار بیسیم است و از طریق اتصال Wi-Fi به گوشیهای هوشمند، تبلت یا لپتاپ متصل میشود. این ویژگی آزادی عمل بیشتری را در معاینات فراهم میآورد و مشکلات ناشی از سیمها را حذف میکند. همچنین وزن دستگاه حدود 250 گرم است که آن را از بسیاری از دستگاههای مشابه بازار که معمولاً وزن بیشتری دارند (بین 310 تا 400 گرم) سبکتر میکند. این ویژگی باعث راحتی بیشتر در حمل و استفاده طولانیمدت میشود. دستگاههای سونواستار به دلیل بیسیم بودن، وزن سبک و کیفیت تصویر بالا، انتخاب مناسبی برای پزشکان و متخصصین هستند.
اگر اطلاعات بیشتری نیاز دارید یا میخواهید دستگاه را از نزدیک مشاهده کنید، میتوانید با ما تماس گیرید.
سبک ترین سونوگرافی موبایل موجود در بازار وزنش چقدر است و مربوط به کدام برند میباشد؟ برند باتری فلای که واقعا سنگین بود من تست کردم!!!!!!
سبکترین سونوگرافی موبایل موجود در بازار معمولاً مربوط به برندهای معروفی است که به ارگونومی و راحتی استفاده توجه ویژهای دارند. در حال حاضر، یکی از سبکترین دستگاههای سونوگرافی موبایل موجود در بازار مدل C5PL-UPROBE C از برند SonoStar است که وزن آن حدود ۲۵۰ گرم میباشد. این وزن بسیار سبک، آن را به انتخابی مناسب برای استفادههای طولانی مدت و کاربرد در شرایط سیار تبدیل کرده است.
در مقایسه با برندهایی مثل باتری فلای که شما اشاره کردید و وزن بیشتری دارند، مدل C5PL-UPROBE C با طراحی ارگونومیک، تکنولوژیکال و سبک خود مزیت قابل توجهی از نظر راحتی حمل و استفاده دارد.
در صورتی که نیاز به جزئیات بیشتر یا اطلاعات تکمیلی دارید، خوشحال میشویم که با ما در تماس باشید.
آیا دستگاههای سونوگرافی شما گارانتی دارند؟
بله، تمامی دستگاههای سونوگرافی ما تحت گارانتی معتبر قرار دارند. این گارانتی شامل تعمیرات و تعویض قطعات به مدت یک سال از تاریخ خرید است، دستگاه شما علاوه بر گارانتی مذکور شامل ۱۰ سال خدمات پس از فروش و همچنین ۱۰ سال خدمات اکسچنج خواهد بود. در صورت بروز هرگونه مشکل فنی، تیم پشتیبانی ما آماده است تا به سرعت به شما کمک کند.
آیا برای استفاده از دستگاه سونوگرافی آموزش ویژهای لازم است؟
بله، ما برای مشتریان خود آموزشهای جامع و تخصصی در زمینه استفاده از دستگاهها ارائه میدهیم. این آموزشها شامل دورههای حضوری و آنلاین، ویدیوهای آموزشی، و مشاورههای فنی میشود. هدف ما این است که شما با اطمینان کامل از دستگاههای ما استفاده کنید.
آیا دستگاههای شما برای انواع مختلف بیماریها مناسب هستند؟
بله، دستگاههای سونوگرافی ما برای انواع مختلف کاربردهای پزشکی مانند زنان و زایمان، اورولوژی، قلب و عروق، و بسیاری دیگر مناسب هستند. ما دستگاههایی با ویژگیهای متنوعی داریم که بسته به نیاز پزشکی شما میتوانید بهترین گزینه را انتخاب کنید.
آیا دستگاه های سونو گرافی مو بایل سونو استار برای استفاده آموزشی مناسب هستند ؟
سونو گرافی مو بایل سونو استار برای استفاده آموزشی مناسب هستند
آیا دستگاه های سونوگرافی موبایل سونواستار به راحتی قابل حمل هستند؟
بله، دستگاههای سونوواستار بهگونهای طراحی شدهاند که سبک، کوچک و بیسیم باشند و بهراحتی در جیب یا کیف پزشک جا شوند. این ویژگی باعث میشود پزشکان و کادر درمانی بتوانند در محیطهای مختلف، از اتاق بیمارستان گرفته تا مناطق دورافتاده، از این دستگاه استفاده کنند. شرکت ایده گستر قدرت تضمین میکند که تمام دستگاهها قبل از عرضه آزمایش شده و مطابق با استانداردهای حملپذیری بینالمللی هستند.
آیا استفاده از دستگاه های سونوواستار نیاز به آموزش تخصصی دارد؟
دستگاههای سونواستار با طراحی کاربرپسند ارائه میشوند، اما برای استفاده بهینه، شرکت ما دورههای آموزشی تخصصی برگزار میکند. این آموزشها به کاربران کمک میکند تا از تمامی قابلیتهای دستگاه به بهترین شکل بهرهمند شوند.
آیا دستگاه های سونوگرافی موبایل سونواستار برای استفاده آموزشی مناسب هستند؟
بله، دستگاههای سونواستار برای آموزش سونوگرافی عالی هستند. قابلیت اتصال به موبایل یا تبلت و ضبط و اشتراکگذاری تصاویر، این دستگاه را به ابزاری ایدهآل برای یادگیری دانشجویان پزشکی و کلاسهای POCUS تبدیل کرده است.
چه نوع تاییدیه هایی نشان دهنده کیفیت دستگاه های سونواستار است؟
دستگاههای سونواستار دارای تاییدیههای معتبر جهانی مانند FDA آمریکا، CE اروپا و همچنین تاییدیه وزارت بهداشت ایران هستند که نشاندهنده کیفیت و ایمنی بالای این محصولات است.
چگونه دستگاه های سونوواستار به صرفه جویی در هزینه های درمانی کمک می کنند؟
با کاهش زمان تشخیص و امکان استفاده در محیطهای متنوع، دستگاههای سونواستار به کاهش هزینههای مراجعه بیمار به مراکز درمانی کمک میکنند. همچنین، قابلیت حمل آسان آنها باعث کاهش نیاز به تجهیزات بزرگتر و هزینهبر میشود.
گارانتی و خدمات پس از فروش دستگاه های سونواستار چگونه است؟
تمامی دستگاههای سونواستار دارای یک سال گارانتی شرکتی و ۱۰ سال خدمات پس از فروش هستند. همچنین، امکان اکسچنج (تعویض) دستگاه در صورت بروز مشکلات جدی وجود دارد. نماینده انحصاری برند سونواستار در ایران، شرکت ایده گستر قدرت، این خدمات را با پشتیبانی کامل ارائه میدهد.
. آیا دستگاههای سونواستار نیاز به تعمیر و نگهداری خاصی دارند؟
دستگاههای سونواستار نیاز به تعمیرات و نگهداری خاصی ندارند، اما برای بهرهبرداری بهینه، توصیه میشود که دستگاه بهطور دورهای از نظر عملکرد فنی بررسی شود. تیم پشتیبانی ما بهصورت منظم خدمات نگهداری را به مشتریان ارائه میدهد.
مد BM در دستگاه سونوگرافی موبایل سونواستار، امکان مشاهده تصاویر متحرک بافتها رو فراهم میکنه که برای بررسی عملکرد اعضا بسیار مفیده.
سلام و وقت بخیر! خوشحالیم که از مد BM در دستگاه سونوگرافی موبایل سونواستار برای مشاهده تصاویر متحرک بافتها بهره میبرید. این ویژگی واقعاً برای بررسی عملکرد اعضا و تشخیص دقیقتر بسیار مفید است. پروب C5PL-UPROBE C که استفاده میکنید، گزینهای عالی برای این نوع کاربردها است. اگر سوالی داشتید یا به راهنمایی بیشتری نیاز داشتید، تیم ما همیشه آماده خدمترسانی است. از اینکه تجربیات خود را با ما به اشتراک گذاشتید، سپاسگزاریم!
پروب سونوگرافی سونواستار خیلی سبکه و برخلاف پروبهای سنگینتر سایر برندها، به راحتی میشه در هر شرایطی ازش استفاده کرد. واقعا حمل و نقلش ساده است
سلام، ممنون از کامنت عالیتون!
بله، یکی از مزیتهای بزرگ پروب سونوگرافی سونواستار سبکی و طراحی ارگونومیک اون است که حمل و نقل راحت و استفاده طولانیمدت رو بدون احساس خستگی ممکن میکنه. برخلاف پروبهای سنگینتر، این ویژگی به شما این امکان رو میده که در هر شرایطی به راحتی از دستگاه استفاده کنید. امیدواریم این ویژگی برای شما راحتی و کارایی بیشتری فراهم کنه!
دستگاه با پریستهای پیشفرضی که داره، حتی برای تشخیصهای پیچیده مثل آسیبهای عضلانی و بافت نرم هم فوقالعادهست.
سلام، ممنون از کامنت شما!
دستگاه سونوگرافی سونواستار با پریستهای پیشفرض و تنظیمات دقیق، حتی برای تشخیصهای پیچیدهای مثل آسیبهای عضلانی و بافت نرم هم عملکرد عالی داره. این ویژگی به شما کمک میکنه تا به سرعت و با دقت بالا تصاویر مناسبی بگیرید و تشخیصهای دقیقتری ارائه بدید. امیدواریم همچنان از عملکرد دستگاه راضی باشید!
تنوع پروبهای سونوگرافی سونواستار واقعاً به نیازهای مختلف من پاسخ میده. از پروبهای قلبی گرفته تا پروبهای عمومی، همه رو با کیفیت عالی دارم. علاوه بر این، خدمات پس از فروش ۱۰ ساله که ارائه میدهند باعث آرامش خاطرم شده.
دستگاه سونوگرافی موبایل سونواستار با تنوع پروبهای تخصصی خود، واقعاً نیازهای مختلف پزشکی را به خوبی پوشش میدهد. از پروبهای قلبی تا پروبهای عمومی، هر کدام با کیفیت بالا ارائه میشوند که به شما این امکان را میدهند که برای انواع معاینات دقیق و سریع عمل کنید. علاوه بر این، خدمات پس از فروش ۱۰ ساله این دستگاه، اعتماد و آرامش خاطر زیادی را برای شما فراهم میکند. ویژگیهایی که این دستگاه ارائه میدهد، قطعاً انتخاب مناسبی برای تمامی پزشکان است.
دستگاه سونوگرافی موبایل سونواستار از نظر قیمت بسیار رقابتی است و با این امکانات عالی، انتخابی هوشمندانه است. کیفیت تصویر فوقالعاده است.
ممنون از شما که تجربهتان را به اشتراک گذاشتید. هدف ما ارائه بهترین کیفیت با قیمت رقابتی است. در هر زمان که نیاز به کمک داشتید، ما در خدمت شما هستیم.
دستگاه سونوگرافی موبایل سونواستار رو چند ماهی هست که استفاده میکنم. کیفیت تصویر عالی و پروبهای بدون سیمش بسیار راحت استفاده میشه. از پشتیبانی سریع و پاسخگویی تیم فنی شرکت ایده گستر قدرت هم خیلی راضیم. واقعا حس کردم که همیشه پشت دستگاه من هستند.
از نظر شما بسیار سپاسگزاریم. خوشحالیم که توانستهایم رضایت شما را جلب کنیم. در صورت نیاز به هرگونه مشاوره یا پشتیبانی، همیشه در کنار شما خواهیم بود.
از زمانی که دستگاه سونوگرافی سونواستار رو خریداری کردم، کارم خیلی سریعتر و راحتتر شده. پشتیبانی شما هم بینظیره.
خیلی خوشحالیم که دستگاه توانسته نیازهای شما را برآورده کند. تیم پشتیبانی ما همیشه در تلاش است تا به شما کمک کند. در هر زمان که نیاز به راهنمایی داشتید، ما در خدمت شما خواهیم بود.
کیفیت تصاویر بسیار واضح است و پروب بدون سیم واقعاً کار را راحتتر کرده است. خوشحالم که این دستگاه را انتخاب کردم.
خوشحالیم که دستگاه توانسته نیازهای شما را برآورده کند. هدف ما ارائه دستگاههایی با کیفیت عالی و راحتی استفاده است. در صورت نیاز به کمک بیشتر، تیم پشتیبانی ما آماده است.
از وقتی که این دستگاه رو خریداری کردم، به شدت تجربه راحتتر و سریعتری در انجام سونوگرافی دارم. اپلیکیشن رایگان بسیار کاربردی بود و اتصال دستگاه به ویندوز و محصولات اپل، کار را بسیار ساده کرده. همچنین امکان دمو دستگاه قبل از خرید، کمک زیادی به تصمیمگیری درست کرد.
ممنون از شما که تجربیات خودتون رو با ما به اشتراک گذاشتید. خوشحالیم که امکانات دستگاه برای شما مفید واقع شده. در هر زمان که نیاز به کمک داشتید، ما در خدمت شما هستیم.
دستگاه سونوگرافی سونواستار بسیار سریع و دقیق است. از قابلیتهای اتصال به اپلیکیشن و محصولات مختلف، بسیار راضی هستم.
ممنون از شما که این ویژگیها را ذکر کردید. دستگاه سونوگرافی سونواستار برای راحتی و دقت بیشتر طراحی شده است. اگر سوالی دارید، همیشه آماده کمک هستیم.
سلام این دستگاه برمتخصصین هست یاپزشک عمومی میتونه استفاده کنه
سلام! این دستگاه هم برای متخصصین و هم برای پزشکان عمومی قابل استفاده است. پزشکان عمومی که در حوزههایی مانند اورژانس، پزشکی خانواده، طب ورزشی و مراقبتهای اولیه فعالیت دارند، میتوانند از سونوگرافی موبایل برای تشخیص سریعتر و تصمیمگیری بهتر در مورد بیماران استفاده کنند.
آیا این دستگاه در اروپا هم به فروش میرسد؟
بله، سونواستار دارای نمایندگیهای فروش در اروپا و سایر کشورها است.
آیا این دستگاه با گوشیهای اندروید هم سازگاره؟
بله، با اکثر گوشیهای اندروید و iOS هماهنگ است.
من یک داکتر وترنر هستم میخواهم یک ماشین سونوگرافی داشته باشم که همزمان چندین کار را انجام دهد معاینات شکمه روده قلب تست حاملگی والقاح را در در حیوانات خانگی مانند گاو بز گوسفند در بر گیرد آیا این قسم ماشین سونوگرافی یافت می شود اگر می شود در جمیل بنده خصوصیات آن را روان کنید همراه قیمت آن
خدمات پس از فروش شرکت ایده گستر قدرت واقعاً عالی بود. هر زمان سوالی داشتم، سریع پاسخ دادند و مشکل برطرف شد.
از اعتماد شما بسیار سپاسگزاریم. ارائه خدمات سریع و دقیق، همواره اولویت ماست.
آموزش سونوگرافی که همراه دستگاه ارائه میدهند بسیار کاربردی و جامع است. مخصوصاً برای کسانی که تازه شروع کردهاند.
خوشحالیم که آموزشها برای شما مفید بوده است. هدف ما ارتقاء دانش و مهارت پزشکان میباشد.
بعد از خرید دستگاه، تیم آموزش خیلی حرفهای نحوه استفاده را توضیح داد. واقعاً تفاوت ایجاد کرد.
از حسن توجه شما سپاسگزاریم. آموزش تخصصی، بخشی جدا نشدنی از خدمات ماست.
برای من مهم بود نماینده رسمی و انحصاری باشه. با خیال راحت خریدم چون مطمئنم قطعات و خدمات همیشه در دسترس خواهد بود.
بله، شرکت ایده گستر قدرت نماینده انحصاری سونواستار در ایران است و تأمین قطعات و خدمات پس از فروش کاملاً تضمین شده میباشد.
سریعترین پاسخگوییای که تا حالا تجربه کردهام. حتی خارج از ساعات اداری هم جوابگو بودن.
از رضایت شما خوشحالیم. ما تلاش میکنیم در هر زمان پاسخگوی نیاز پزشکان و کاربران عزیز باشیم.
کلاسهای آموزشی که برگزار میکنند فوقالعاده است. بعد از شرکت در دوره، خیلی راحتتر از دستگاه استفاده میکنم.
خوشحالیم که کلاسهای آموزشی برای شما موثر بوده است. ارتقاء مهارت کاربران، از اهداف اصلی ماست.
یکی از بهترین ویژگیها این بود که تیم خدمات پس از فروش نه فقط مشکل رو حل کرد، بلکه راهکارهای پیشگیرانه هم توضیح داد.
بسیار خرسندیم که این موضوع برای شما ارزشمند بوده است. پیشگیری همواره بهتر از درمان است و ما به آن اهمیت ویژه میدهیم.
نماینده رسمی بودن شرکت باعث شد با خیال راحت خرید کنم و از گارانتی مطمئن باشم.
بله، ایده گستر قدرت نماینده انحصاری سونواستار در ایران است و تمامی دستگاهها با گارانتی معتبر ارائه میشوند.
از پشتیبانی خیلی راضی هستم. همیشه با حوصله جواب میدهند.
از بیان تجربه مثبت خود متشکریم. تیم پشتیبانی ما همواره آماده پاسخگویی با صبوری و دقت میباشد.
از برخورد و پیگیری تیم خدمات پس از فروش خیلی راضی بودم. واقعاً مشتریمدار هستن.
از بیان تجربه مثبت خود متشکریم. مشتریمداری و احترام به نیاز پزشکان و کاربران، از ارزشهای اصلی ماست.
کیفیت آموزش خیلی بالاست، مخصوصاً بخشهای مربوط به POCUS که خیلی کاربردی توضیح داده شد.
از ابراز نظر شما سپاسگزاریم. آموزش تخصصی POCUS از نقاط قوت تیم ماست.
دستگاه رو برای کلینیک گرفتم، خیلی سبک و قابل حمله. آموزش تیم باعث شد به سرعت وارد کار روزمره بشه.
از بازخورد شما متشکریم. قابلیت حمل آسان و آموزش سریع از ویژگیهای اصلی دستگاههای ماست.
از نظر خدمات پس از فروش یکی از بهترین شرکتهایی بود که تجربه کردم. سریع، دقیق و حرفهای.
از بیان تجربه خود ممنونیم. کیفیت خدمات پس از فروش ما همواره در اولویت قرار دارد.
کیفیت تصویر دستگاه سونوگرافی شما چقدر شفاف است؟
کیفیت تصویر دستگاههای ما بسیار بالا است و نزدیک به دستگاههای مبله عمل میکند، حتی در مقایسه با مدلهای گرانتر.
آیا بدنھ دستگاه از مقاومت کافی برخوردار است؟
بله، دستگاه با طراحی مقاوم جهت استفاده مداوم بالینی تولید شده است.
آیا می توان از چند پروب روی یک دستگاه استفاده کرد؟
بله، امکان اتصال چند پروب به یک دستگاه وجود دارد که هزینه خرید را نسبت به رقبا بسیار کاهش میدهد.
آیا دستگاه ها اصل و دارای اصالت برند هستند ؟
بله، تمامی دستگاهها با تضمین اصالت کالا و از مسیر رسمی تأمین میشوند
آیا کار با دستگاه نیاز به آموزش پیچیده دارد؟
خیر، محیط کاربری ساده است و آموزش تخصصی نیز توسط تیم ما ارائه میشود
آیا دستگاه برای آموزش دانشجویان پزشکی مناسب است؟
بله، هم برای کلاسهای عملی و هم برای تمرین فردی فوقالعاده کاربردی است